Tin tức
CẢNH GIÁC VỚI VIÊM DA DO DEMODEX
TRONG MÙA HÈ NẮNG NÓNG
Gần đây, Phòng khám Da liễu Thu Hiền (PKTH) tiếp nhận khá nhiều ca bệnh đến với Phòng khám với biểu hiện đỏ da, giãn mạch, viêm nang lông, ngứa ở mặt, triệu chứng tồn tại dai dẳng, đã đi khám chữa nhiều nơi với nhiều chẩn đoán khác nhau như viêm da tiếp xúc dị ứng, viêm da dầu, trứng cá đỏ, viêm da do corticoid nhưng bệnh không thuyên giảm. Khi đến với PKTH, bệnh nhân được bác sỹ khám kỹ lưỡng, soi da và làm xét nghiệm soi tươi tìm ký sinh trùng, cuối cùng phát hiện ra căn nguyên gây bệnh là demodex. Demodex là một loại kí sinh trùng có thể gặp ở trên da người bình thường khoẻ mạnh, khi tăng lên về số lượng có thể gây các biểu hiện lâm sàng không đặc hiệu. Mùa hè là mùa nắng nóng, mồ hôi và chất bã nhờn tiết ra nhiều càng tạo môi trường thuận lợi cho demodex phát triển, nhất là trên những bệnh nhân có tiền sử viêm da dầu, trứng cá đỏ, viêm da do corticoid.
Việc chẩn đoán xác định và điều trị sớm giúp giải quyết dứt điểm căn nguyên gây bệnh, tăng hiệu quả điều trị cho người bệnh. Tuy nhiên, nếu không chẩn đoán kịp thời, bệnh sẽ diễn biến nặng hơn, gây phiền toái cho người bệnh, chưa kể việc điều trị không đúng hướng sẽ làm mất thời gian, tốn kém chi phí của người bệnh.
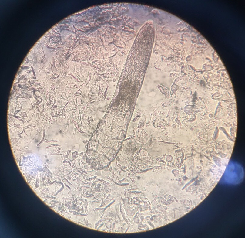
PKTH xin gửi tới quý khách một số hình ảnh và đặc điểm lâm sàng của Viêm da do demodex để chúng ta cùng cảnh giác, đi khám bệnh ngay khi có dấu hiệu nghi ngờ.


1. DEMODEX LÀ GÌ
Demodex xuất phát từ tiếng Hy lạp: Demo: mỡ, Dex: giun đục lỗ (hình thái giống giun, ở vùng tiết bã). Đây là kí sinh trùng thuộc họ ve mạt, ngành chân khớp, có khoảng 65 loài, 23 – 100% người trưởng thành khoẻ mạnh có Demodex, lây truyền qua tiếp xúc. Vòng đời demodex từ 14 – 24 ngày
Ở người có 2 loài thường gặp là Demodex folliculorum và Demodex brevis, cư trú ở vùng trán má, hai bên mũi, lông mi.
Demodicosis thứ phát: hay gặp ở bệnh nhân có tiền sử có bệnh lý nền như viêm da quanh miệng hoặc trứng cá đỏ...Demodicosis tiên phát thường gặp ở trẻ lớn và người lớn, ít khi gặp ở trẻ < 5 tuổi.
2. BIỂU HIỆN LÂM SÀNG
Triệu chứng lâm sàng không đặc hiệu, bao gồm vảy da ở nang lông, đỏ da, da nhạy cảm, ngứa
Khám có thể thấy tổn thương như dát, sẩn, chàm, viêm nang lông, tăng sắc tố...
Ngoài ra có thể có biểu hiện viêm mi mắt, áp xe do demodex...
3. XÉT NGHIỆM
Tăng số lượng Demodex (> 5 con/cm2). Sử dụng các xét nghiệm:
— DME – Direct microscopic examination: Cạo vảy da, nhỏ KOH
— Kĩ thuật sinh thiết bề mặt da chuẩn hoá (SSSB – Standardized skin surface biopsy technique)
— Dermoscope: thấy hình ảnh “đuôi”, “lỗ mở nang lông”
4. CHẨN ĐOÁN
Chưa có thống nhất về tiêu chuẩn chẩn đoán Demodicosis nhưng có thể dựa vào một số tiêu chí:
— Không có bệnh lý viêm da trước đó hoặc xảy ra đồng thời như trứng cá, trứng cá đỏ,…
— Tăng bất thường về số lượng Demodex, xác định tại thời điểm có tổn thương đang hoạt động (> 5 Demodex/cm2)
— Lui bệnh sau khi được điều trị bằng thuốc diệt Demodex tại chỗ/toàn thân (không phải bằng kháng sinh có hoạt tính chống viêm như cycline, macrolide)
5. ĐIỀU TRỊ
Toàn thân:
Ivermectin: Uống 200mcg/kg liều duy nhất, thường uống sau ăn 2 tiếng
Metronidazole: cơ chế chưa rõ ràng, chưa xác định được liều tối ưu, 500mg/ngày
Tại chỗ: các thuốc diệt kí sinh trùng
Benzyl benzoat 10%: bôi tại chỗ 2 lần/ngày
Lindan 1%
Permethrin
Crotamiton
Metronidazole bôi 1%
Tham khảo thêm chi tiết tại website: dalieuthuhien.vn
https://dalieuthuhien.vn/165/viem-da-do-demodex.html
I was incredibly impressed by this place. The doctor was knowledgeable and took the time to listen to my concerns. It was very clean, which is something you seldom see here, and well priced. The staff were very friendly and helpful. Everyone speaks English, so it's the perfect place to go if you want to avoid the public dermatologists and their lack of care here.
Vừa có tài vừa có tâm đó là cảm nhận ngay từ lần đầu tiên khi đến khám tại Phòng khám Da liễu Thu Hiền của Tiến sỹ Bác sỹ Thu Hiền. Mình còn giới thiệu rất nhiều người đến khám và ai cũng khỏi hoàn toàn. Cảm ơn Phòng khám Thu Hiền, cảm ơn Bác sỹ Thu Hiền rất nhiều. Không những chuyên môn giỏi, bác sỹ còn luôn có thái độ ân cần, niềm nở, tận tình với bệnh nhân.
Bác sỹ Hiền có chuyên môn sâu, tay nghề vững, luôn hết lòng vì người bệnh. Vì vậy chị luôn đưa ra phương pháp điều trị phù hợp đảm bảo chữa bệnh hiệu quả, không lạm dụng điều trị quá liều khiến chi phí chi trả không cần thiết cho người bệnh.
Ai có vấn đề về mụn có thể qua đây điều trị ạ. Bác sỹ nhiệt tình tư vấn, vui tính. Da em sau 1 tháng điều trị đã thay đổi ngoạn mục ạ.
Bác sỹ làm việc nhiệt tình, năng lực tốt. Kỹ thuật lấy nhân mụn của các chị ở đây rất ổn, nhanh, dứt khoát, không làm nốt mụn trầm trọng thêm. Nói chung là đánh giá phòng khám 5 sao.
Một Bác sỹ, một người chị rất giỏi và có TÂM. Tôi đã được bác sỹ Hiền điều trị khỏi dứt điểm bệnh dị ứng khi có bầu và đang còn cho em bé bú. Đây là địa chỉ tin cậy và an toàn với các mẹ mang thai và có trẻ nhỏ nhé. Cảm ơn chị và chúc Phòng khám được nhiều người biết đến để mọi người được gặp và khám chữa bởi bác sỹ có tài có tâm như chị!
Cảm ơn chị! Một bác sỹ nhiệt tình với bệnh nhân và đặc biệt rất có lương tâm
Absolutely incredible Dermatologist, friendly, helpful, professional staff and communication in both English and Vietnamese...Totally recommended!
Phòng khám Da liễu mình ưng ý nhất. Rất vui mừng khi lên Hà nội gặp được thầy, gặp thuốc chữa mụn mà cả da dẻ đẹp lên, đúng giá sinh viên luôn
Mình cảm thấy rất may mắn khi được gặp và điều trị bệnh tại Phòng khám Da liễu Thu Hiền. Chị Hiền không những là một bác sỹ giỏi mà còn rất nhiệt tình và tận tâm với người bệnh. Đây cũng là địa chỉ tin cậy cho những ai đang gặp vấn đề về da tìm đến. Chúc chị luôn mạnh khỏe để giúp đỡ được nhiều người bệnh. Em cảm ơn chị rất nhiều.
Em rất cảm ơn bác sỹ Thu Hiền đã tận tình tư vấn và có phác đồ điều trị bệnh hiệu quả cho em. Kính chúc bác sỹ có thật nhiều sức khỏe, thành công và hạnh phúc! Chúc phòng khám ngày càng phát triển và được nhiều người biết đến
Highly recommend this dermatologist! Each of the staff members were friendly and spoke fluent English. The Dr was amazing and answered all my questions. A consultation cost $150,000 VND, much cheaper compared to many other clinics/hospitals in Hanoi that cost around $2.5 mill VND.
Great doctor and very professional. Morever, the Dr is really attentive and listens to your problems and does her best to support and treat you. My hair is growing now 😁. Only because of her ❤️❤️❤️
Cảm ơn bác sĩ thời gian qua đã giúp e thoát khỏi khủng hoảng về da. Bác sĩ rất nhẹ nhàng nhiệt tình và tỉ mỉ với bệnh nhân. Em vô cùng biết ơn bác sĩ và dù đã hết liệu trình thuốc của bác sĩ nhưng e vẫn sẽ chăm sóc da ở nhà theo đúng bác sĩ kê. Ai mà có tình trạng xấu về da gặp bác sĩ là đẹp liền ❤️❤️❤️.